sábado, 11 de mayo de 2024

MEDICACIÓN PARA ANSIEDAD, DEPRESIÓN: REPERCUSIÓN EN PIEL Y TRATAMIENTOS ESTÉTICOS

Los trastornos de ansiedad y depresión son afecciones de salud mental comunes que pueden afectar significativamente la calidad de vida de quienes las padecen. Para tratar estos trastornos, los médicos pueden recetar una variedad de medicamentos, como antidepresivos, ansiolíticos y estabilizadores del estado de ánimo. Sin embargo, es importante tener en cuenta que estos medicamentos pueden tener efectos secundarios, algunos de los cuales pueden afectar la piel. 


Repercusión en la Piel:

  1. Sequedad Cutánea: Algunos medicamentos para la ansiedad y la depresión pueden causar sequedad en la piel como efecto secundario. Esto puede manifestarse como piel áspera, descamación o picazón. La sequedad cutánea puede ser incómoda y, en algunos casos, puede empeorar afecciones como la dermatitis.
  2. Sensibilidad al Sol: Algunos medicamentos, especialmente ciertos antidepresivos y ansiolíticos, pueden aumentar la sensibilidad de la piel al sol. Esto significa que es más probable que experimentes quemaduras solares o reacciones cutáneas adversas cuando estés expuesta a la luz solar directa. Es importante tomar precauciones adicionales, como usar protector solar y evitar la exposición prolongada al sol.
  3. Cambios en la pigmentación: Algunos medicamentos psicotrópicos pueden causar cambios en la pigmentación de la piel. Esto puede manifestarse como manchas más claras o más oscuras en la piel, especialmente en áreas expuestas al sol. Estos cambios suelen ser reversibles una vez que se suspende el medicamento, pero pueden ser preocupantes desde el punto de vista estético.
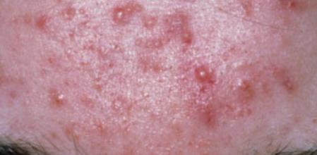
  4. Acné y Erupciones Cutáneas: En algunos casos, ciertos medicamentos para la ansiedad y la depresión pueden desencadenar brotes de acné o erupciones cutáneas. Esto puede deberse a cambios en los niveles hormonales o a la respuesta del cuerpo al medicamento. Es importante hablar con tu médico si experimentas cambios en tu piel mientras estás en tratamiento.

Consejos para el Cuidado de la Piel:

  • Hidratación: Utiliza cremas hidratantes suaves y sin perfume para ayudar a combatir la sequedad cutánea. Aplica la crema con regularidad, especialmente después de ducharte o lavarte la cara.
  • Protección Solar: Usa protector solar con un alto factor de protección (SPF) siempre que estés expuesta al sol, incluso en días nublados. Opta por productos que sean adecuados para tu tipo de piel y que ofrezcan protección de amplio espectro.
  • Cuidado Suave: Evita el uso de productos agresivos o abrasivos en la piel, como exfoliantes fuertes o limpiadores con ingredientes irritantes. Opta por productos suaves y no comedogénicos que sean adecuados para pieles sensibles.
  • Consulta a un profesional: Si experimentas cambios significativos en tu piel mientras estás en tratamiento con medicamentos para la ansiedad o la depresión, consulta a un dermatólogo. Pueden ofrecerte orientación específica y recomendaciones de tratamiento para abordar tus inquietudes.
Gabriela Molina García
1GM Estética y Belleza 
11/05/2024

No hay comentarios:

Publicar un comentario